Protesi Fissa

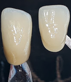
Zirconia-Ceramica
Utilizziamo vari tipi di Zirconia a seconda delle indicazioni cliniche ed estetiche. La ceramica utilizzata è la Creation , utilizziamo la stratificazione individualizzata o classica .

ALL ON SIX
Struttura in laser melting(Cr-Co) progettata a CAD
Rivestita con composito-ceramico

IAC- Integrated Abutment Crown
La IAC (integrated abutment crowns) è una corona stratificata con composito ceramico (75% ceramica, 25% composito) direttamente sull'abutment Bicon. Tra i molteplici vantaggi, si evidenzia l’assenza di cementazione della corona sull'abutment stesso nonché la possibilità di modificare i punti di contatto occlusali e prossimali direttamente in studio. La IAC può essere anche costruita con una corona in zirconia–ceramica o in metallo ceramica cementata sull’abutment in laboratorio.

ALL ON FOUR
Struttura in metallo
Rivestita con resina acrilica e denti in resina

Corona Anatomica a CAD
Progettazione CAD e colorata

Metallo-Ceramica
​Produciamo la struttura in metallo nobile o cromo cobalto per fusione o sinterizzazione. La ceramica utilizzata è la Creation, utilizziamo la stratificazione individualizzata o classica.
.jpg)

